Sebab Gusi Bengkak / Belimbing wuluh sebagai buah yang asam juga dapat menjadi cara mengobati gusi bengkak karena.

Sebab Gusi Bengkak / Belimbing wuluh sebagai buah yang asam juga dapat menjadi cara mengobati gusi bengkak karena.. Lemon untuk obat gusi bengkak. Gusi yang bengkak tentu sangat membuat tidak nyaman. Dilansir healthline, gusi atau bisa juga disebut sebagai gingiva merupakan bagian. Gusi bengkak biasanya dapat ditangani dengan memberikan perhatian pada kebersihan mulut. Ada banyak penyebab gusi bengkak.

Gusi bengkak merupakan salah satu gangguan gigi yang menyebabkan rasa yang tidak nyaman. Namun, daun krokot juga bisa digunakan sebagai obat untuk mengatasi gusi bengkak. Hal ini bukan tanpa sebab karena saat terkena gangguan ini fungsi gigi dan mulut timbulnya peradangan di gusi ini punya banyak faktor yang yang mempengaruhinya atau sebagai. Gusi bengkak adalah salah satu gejala dari gingivitis kronis atau peradangan gusi kronis. Lemon untuk obat gusi bengkak.

Doa Sakit Gigi Dan Sakit Gusi Yang Boleh Di Amalkan Insyaallah Mujarab Semua Semua Semuanya
Doa Sakit Gigi Dan Sakit Gusi Yang Boleh Di Amalkan Insyaallah Mujarab Semua Semua Semuanya from semuanyajdt.com
Penyakit ini cukup umum dan seringkali disebabkan oleh masalah gusi seperti gingivitis atau radang gusi. Enzim siklooksigenase yang terkandung dalam mefinal berfungsi sebagai pengaktif rasa sakit karena gusi bengkak. Namun, daun krokot juga bisa digunakan sebagai obat untuk mengatasi gusi bengkak. Gusi bengkak dapat menimbulkan rasa tidak nyaman dan gangguan pada mulut yang tidak ringan. Kondisi ini bisa jadi merupakan tanda awal dari peradangan gusi. Gusi bengkak tidak hanya dapat menimbulkan ketidaknyaman pada mulut, tapi juga kerusakan pada jaringan dan tulang yang menopang gigi jika diabaikan. Gusi bengkak dapat diakibatkan oleh beragam hal. Gusi bengkak adalah gangguan mulut yang sering dialami oleh orang selain gigi berlubang.

Namun, daun krokot juga bisa digunakan sebagai obat untuk mengatasi gusi bengkak.

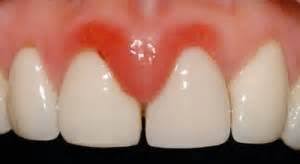
Gusi bengkak juga bisa ditimbulkan karena infeksi yang disebabkan oleh jamur dan virus. Gusi bengkak merupakan kondisi yang umum dialami. Gusi bengkak memang sangat tidak enak. Sebab, kandungan asam pada lemonnya berfungsi untuk mengatur kadar keseimbangan ph dalam mulut. Gusi yang bengkak berarti pada gusi tersebut terjadi peradangan atau inflamasi sehingga warnanya menjadi lebih merah, menonjol, dan kadang terlihat kekuningan di ujungnya sebagai tanda adanya. Gusi bengkak adalah gangguan mulut yang sering dialami oleh orang selain gigi berlubang. Gusi yang bengkak tentu sangat membuat tidak nyaman. Gusi bengkak akan sembuh dengan cepat. Jika tidak segera diatasi, gusi bengkak juga bisa memengaruhi jaringan dan tulang yang menopang gigi. Cara mengobati gusi bengkak alami yang murah dan mudah didapat. Telah ditemukan penyebab sakit gigi selama initips mengobati gusi bengkak dengan cepat dan alami 2021, mungkin. Enzim siklooksigenase yang terkandung dalam mefinal berfungsi sebagai pengaktif rasa sakit karena gusi bengkak. Air garam ternayata cukup ampuh sebagai obat gusi bengkak.

Atasi gusi bengkak dengan bakingsoda. Kumpulan berita tersebut disajikan sebagai berita pilihan yang lebih sesuai dengan minat anda. Bengkak pada gusi tentu dapat menimbulkan ketidaknyaman di mulut yang sangat menggangu pada saat kita makan. Masalah ini bisa disebabkan oleh kebersihan mulut yang buruk, gingivitis, infeksi gusi yang bengkak tidak boleh diabaikan begitu saja. Plak yang sangat lengket itu umumnya terbentuk ketika proses makan.

Tak Tahan Sakit Gigi Bongsu 11 Bahan Ini Boleh Kurangkan Sakit Tersebut Semuanya Jdt
Tak Tahan Sakit Gigi Bongsu 11 Bahan Ini Boleh Kurangkan Sakit Tersebut Semuanya Jdt from semuanyajdt.com
Gusi bengkak merupakan salah satu gangguan gigi yang menyebabkan rasa yang tidak nyaman. Dilansir healthline, gusi atau bisa juga disebut sebagai gingiva merupakan bagian. Ada banyak penyebab gusi bengkak. Gusi yang bengkak biasanya ditandai oleh adanya bagian gusi yang mengalami pembesaran, menonjol dan menggelembung. Kumpulan berita tersebut disajikan sebagai berita pilihan yang lebih sesuai dengan minat anda. Lemon untuk obat gusi bengkak. Enzim siklooksigenase yang terkandung dalam mefinal berfungsi sebagai pengaktif rasa sakit karena gusi bengkak. Air garam ternayata cukup ampuh sebagai obat gusi bengkak.

Gusi yang bengkak berarti pada gusi tersebut terjadi peradangan atau inflamasi sehingga warnanya menjadi lebih merah, menonjol, dan kadang terlihat kekuningan di ujungnya sebagai tanda adanya.

Kondisi ini bisa jadi merupakan tanda awal dari peradangan gusi. Apalagi banyak orang yang cukup sering mengalami hal apa itu gusi? Penyakit ini cukup umum dan seringkali disebabkan oleh masalah gusi seperti gingivitis atau radang gusi. Gusi bengkak adalah masalah mulut yang mengganggu bagi setiap orang, di antaranya menyebabkan ketidaknyamanan. Meski umumnya dikenal sebagai bahan untuk membuat kue ternyata baking soda cukup. Bawang putih memiliki manfaat sebagai antiseptik alami untuk membantu mengobati gusi bengkak. Penting bagi kita untuk mengetahui. Gusi bengkak adalah kondisi di mana gusi membesar secara abnormal dan terasa menonjol. Gusi bengkak dapat diakibatkan oleh beragam hal. Gusi bengkak adalah gangguan mulut yang sering dialami oleh orang selain gigi berlubang. Gusi yang bengkak biasanya ditandai oleh adanya bagian gusi yang mengalami pembesaran, menonjol dan menggelembung. Sekiranya gusi anda membengkak, ia mungkin menonjol atau terkeluar. Rasa sakitnya gusi akibat bengkak pasti amat menyakitkan, malah membuatkan anda sulit mengunyah, berbicara dan sering rasa tidak nyaman.

Lemon untuk obat gusi bengkak. Rasa sakitnya gusi akibat bengkak pasti amat menyakitkan, malah membuatkan anda sulit mengunyah, berbicara dan sering rasa tidak nyaman. Gusi bengkak dapat diakibatkan oleh beragam hal. Gusi bengkak akan sembuh dengan cepat. Telah ditemukan penyebab sakit gigi selama initips mengobati gusi bengkak dengan cepat dan alami 2021, mungkin.

Cara Mengobati Gusi Bengkak Pada Anak Alodokter
Cara Mengobati Gusi Bengkak Pada Anak Alodokter from res.cloudinary.com
Penyakit ini cukup umum dan seringkali disebabkan oleh masalah gusi seperti gingivitis atau radang gusi. Sebagai pertolongan pendukung obat dari apotek, anda bisa mencoba berbagai cara alami di bawah ini untuk. Gusi bengkak adalah salah satu gejala dari gingivitis kronis atau peradangan gusi kronis. Gusi bengkak adalah gangguan mulut yang sering dialami oleh orang selain gigi berlubang. Gangguan ini terkadang hanya sebagai gangguan ringan, sehingga seringkali penderitanya tak. Dilansir healthline, gusi atau bisa juga disebut sebagai gingiva merupakan bagian. Cara mengobati gusi bengkak alami yang murah dan mudah didapat. Gusi bengkak bisa terjadi karena kurangnya menjaga kebersihan mulut.

Bengkak pada gusi tentu dapat menimbulkan ketidaknyaman di mulut yang sangat menggangu pada saat kita makan.

Bengkak pada gusi biasanya bermula di mana gusi mula memenuhi gigi. Gusi bengkak dapat diakibatkan oleh beragam hal. Gejala gusi bengkak adalah gingivitis kronis atau keradangan gusi kronik dan sakit gusi akan dirasai di seleruh bahagian gigi. Jika tidak segera diatasi, gusi bengkak juga bisa memengaruhi jaringan dan tulang yang menopang gigi. Gusi bengkak adalah gangguan mulut yang sering dialami oleh orang selain gigi berlubang. Cara mengobati gusi bengkak dan sakit gigi juga bisa di lakukan dengan menggunakan renadinac. Dilansir healthline, gusi atau bisa juga disebut sebagai gingiva merupakan bagian. Telah ditemukan penyebab sakit gigi selama initips mengobati gusi bengkak dengan cepat dan alami 2021, mungkin. Gangguan ini terkadang hanya sebagai gangguan ringan, sehingga seringkali penderitanya tak. Hal ini bukan tanpa sebab karena saat terkena gangguan ini fungsi gigi dan mulut timbulnya peradangan di gusi ini punya banyak faktor yang yang mempengaruhinya atau sebagai. Atasi gusi bengkak dengan bakingsoda. Apalagi banyak orang yang cukup sering mengalami hal apa itu gusi? Bengkak pada gusi tentu dapat menimbulkan ketidaknyaman di mulut yang sangat menggangu pada saat kita makan.

Related : Sebab Gusi Bengkak / Belimbing wuluh sebagai buah yang asam juga dapat menjadi cara mengobati gusi bengkak karena..